Enteropathy-associated T cell lymphoma [EATL] is a rare but aggressive malignancy in patients with celiac disease. Delayed diagnosis of celiac disease and poor adherence to a gluten-free diet are risk factors for malignant evolution of celiac disease. Here the author presents such a rare case of EATL with obstructive renal failure, who after diagnosis was managed symptomatically and started on chemotherapy.
Celiac disease is a chronic auto-immune disorder in which ingestion of gluten or related proteins in certain cereals triggers the immune response. There is genetic predisposition and the abnormal immune response cause inflammatory response and tissue damage causing varied manifestations like enteropathy, hepatitis, dermatitis, neuropathy and thyroid disorders [1, 2]. Associated with these manifestations, there is also increased risk of malignancies. Enteropathy-associated T cell lymphoma [EATL] is a rare malignancy with incidence of 0.5 in per million [3]. According to morphological and genetic features the EATL is classified in two types. EATL type 1 is more frequently associated with celiac disease and has poor prognosis. Here the author presents a rare case of EATL associated with celiac disease [4].
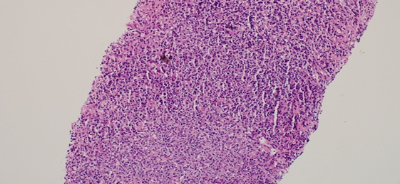
A 47 years old female patient who was diagnosed with celiac disease 6 month ago, non compliant to gluten free diet, presented in a tertiary care health institute with abdominal swelling which was generalized, insidious in onset, gradually progressive. This was associated with anuria which was sudden onset. On examination there was pallor, enlarged cervical lymph nodes and bilateral pedal edema. Abdomen was distended and a lump was palpable in left lumbar and left hypochondrium extending up to umbilicus about 8*7cm, hard in consistency, non tender and not moving with respiration. Beside this liver was enlarged and mild to moderate ascites was there. On ultrasonography of whole abdomen there was bilateral hydrouretronephrosis with altered echo-texture and predominantly solid mass lesion in left hypochndrium with marked increase in colour Doppler. He underwent bilateral DJ stenting and started on hemodialysis. After hemodialysis patient improved symptomatically and renal function tests returned to normal. Small intestine core biopsy showed atypical cells 1.5-3 times the size of mature cells with high N: C ratio, round to oval conspicuous nuclei with moderate amount of cytoplasm suggestive of peripheral T cell lymphoma [Figure 1]. Final diagnosis was celiac disease with peripheral T cell lymphoma with obstructive uropathy with acute kidney injury. Patient was started on chemotherapy and gluten free diet.

Figure 1: Small intestine core biopsy showing atypical cells 1.5- 3 times the size of mature cells with high N:C ratio, round to oval nuclei, conspicuous nuclei and moderate amount of cytoplasm.
EATL commonly presents in the sixth and seventh decades of life. Men and women are equally affected. But our case had an early presentation in his late 40s. Poor adherence to a gluten-free diet, HLA-DQ2 homozygosity, and late diagnosis of CD are recognized as risk factors for malignant evolution of CD. Most patients present with bowel obstruction, small intestinal perforation, abdominal pain, weight loss, and diarrhea. The jejunum is most frequently involved followed by other parts of the small intestine, colon, and stomach. Tumor is usually multifocal and forms ulcerating nodules, plaques, strictures, or less commonly large masses. The mesentery is often infiltrated, and mesenteric lymph nodes are commonly involved [5, 6]. The case discussed presented with abdominal mass with obstructive features. To relieve the renal symptoms bilateral DJ stenting was done and he was started on hemo-dialysis. Final diagnosis of EATL was established on histopathology. In general, EATL is an aggressive lymphoma with high-grade histology and poor prognosis, usually worse than other intestinal lymphomas. The major determinants of prognosis are stage at presentation and clinical status to allow for systemic treatment. The median overall survival was only 10 months, and the median failure-free survival was only 6 months [7]. The best current treatment choice is high-dose chemotherapy, preceded by surgical resection and followed by ASCT, although this procedure can only be applied to a strictly selected number of patients able to tolerate it. Strict adherence to a GFD remains the best option to prevent EATL in patients with CD [8].
Funding: No funding sources
Conflict of interest: None declared
Ethical approval: The study was approved by the Institutional Ethics Committee of Regional Hospital, Himachal Pradesh
Catassi, Carlo, et al. "Natural History of Celiac Disease Autoimmunity in a USA Cohort Followed Since 1974." Annals of Medicine, vol. 42, no. 7, 2010, pp. 530-538. DOI: 10.3109/07853890.2010.514285.
Dieterich, Walburga, et al. "Identification of Tissue Transglutaminase as the Autoantigen of Celiac Disease." Nature Medicine, vol. 3, no. 7, 1997, pp. 797-801. DOI: 10.1038/nm0797-797.
Carbonnel, Franck, et al. "Are Complicated Forms of Celiac Disease Cryptic T-Cell Lymphomas?" Blood, vol. 92, no. 10, 1998, pp. 3879-3886. https://doi.org/10.1182/blood.V92.10.3879.
Catassi, Carlo, et al. "Risk of Non-Hodgkin Lymphoma in Celiac Disease." JAMA, vol. 287, no. 11, 2002, pp. 1413-1419. doi:10.1001/jama.287.11.1413.
Zettl, Andreas, et al. "Enteropathy-Type T-Cell Lymphoma." American Journal of Clinical Pathology, vol. 127, no. 5, 2007, pp. 701-706. https://doi.org/10.1309/NW2BK1DXB0EQG55H.
Arps, David P., and Lauren B. Smith. "Classic versus Type II Enteropathy-Associated T-Cell Lymphoma: Diagnostic Considerations." Archives of Pathology and Laboratory Medicine, vol. 137, no. 9, 2013, pp. 1227-1231. https://doi.org/10.5858/arpa.2013-0242-CR.
Delabie, Jan MA. "Enteropathy-Associated T-Cell Lymphoma." Hematopathology, Springer International Publishing, 2019, pp. 137-142. https://link.springer.com/referenceworkentry/10.1007/978-3-319-95309-0_1970.